Nos réalisations : Conjointe
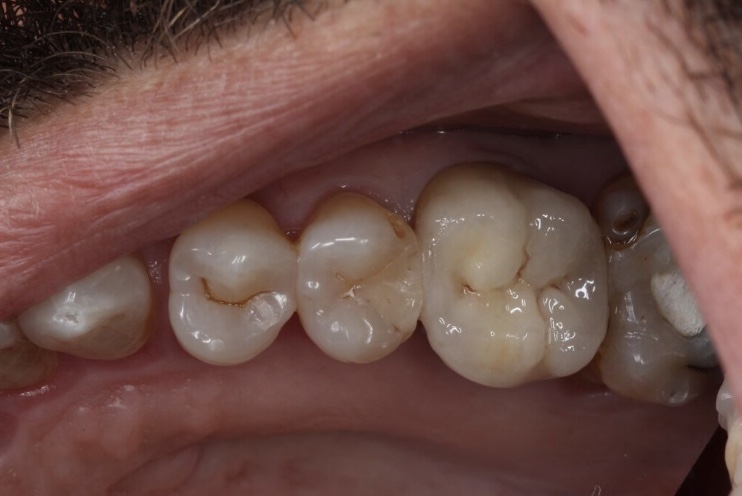
Céramique sur Zircone
La zircone présente une très grande résistance à la flexion (plus de 1 400 Mpa).
Translucide, elle reflète la lumière aussi naturellement que l’émail.
Biocompatible elle est garante d’une excellente intégration gingivale.
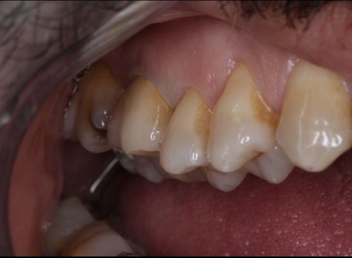
E-Max
L’E.max®, 100% céramique, est à base de disilicate de lithium, reconnu pour sa haute résistance à la flexion (500 Mpa).
Elle est donc une alternative esthétique aux restaurations céramo-métalliques, conservant, ensemble, éclat et durabilité.
Couronne, bridge de 3 éléments, inlay, onlay, facette


















